top of page

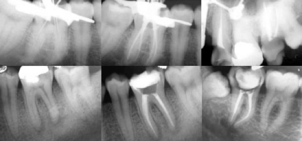
En el interior del diente encontramos a la pulpa dental que es un tejido conectivo altamente especializado, de sus funciones la que es mas reconocida es la de generar dolor dental. Cuando sufre algún daño o enfermedad, ésta puede morir causando hipersensibilidad, dolor dental agudo, fuertes infecciones y decolorar el diente hasta dejarlo gris e incluso negro en casos extremos. El especialista en esta rama de la odontología, ejecuta tratamientos con la mas alta y de vanguardia tecnología a nivel mundial.

Endo 1

Endo 2

Endo 3

Endo 1
1/3
Endodoncia
bottom of page